Blanchiment interne - Une Dent
Composite une face
Réalisation d'un onlay
Pose de 2 implants antérieur
Pose d’implant sans décoller de lambeau
Pose implant et couronne
Bridge complet sur implant
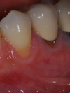
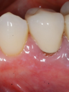
Greffe de gencive
